Knochenbrüche und Luxationen am Ellenbogen

Ursache

Brüche des Ellbogengelenkes entstehen durch Stürze auf den ausgestreckten Arm oder direkt auf das Ellenbogengelenk. Beim jungen Menschen ist eine größere Krafteinwirkung erforderlich, wie sie zum Beispiel bei Ski- /Rad- /Motorrad- oder Reitunfällen auftritt. Je älter und schwächer die Knochensubstanz ist, umso eher reichen auch Stürze im Alltag aus, um einen Bruch im Bereich des Ellenbogengelenkes zu verursachen. Als eigene Entität werden Ellenbogenbrüche auch im Kindesalter nach Stürzen vom Klettergerüst oder Fahrrad häufig beobachtet. Die Behandlung unterscheidet sich in vielen Aspekten von der Behandlung des Erwachsenen.

Verletzungsmuster

Das Ellbogengelenk ist ein komplexes Gelenk, an dem 3 Knochen beteiligt sind (Oberarm, Elle, Speiche). Hauptbewegungsebenen sind die Streckung und Beugung, sowie die Umwendung des Unterarmes. Prinzipiell kann jeder der 3 Knochen alleine für sich gebrochen sein, häufig sind auch Kombinationen von mehreren Brüchen.  Eine Verrenkung des Ellenbogengelenkes (Luxation) führt immer zu einer Verletzung des Bandapparates und/oder knöchernen Schäden.

Zu unterscheiden sind:

Ellbogennahe Brüche des Oberarmes mit oder ohne Gelenkbeteiligung

Brüche der ellenbogennahen Speiche (Radiusköpfchen)

Brüche der ellenbogennahen Elle (Ulna)

Luxationen mit oder ohne zusätzliche Knochenbrüche

In Kombination mit dem auf dem Röntgenbild sichtbaren Knochenbruch liegen häufig zusätzliche Bandverletzungen des Gelenkes vor.

 

 

Behandlung

Die Behandlung zielt darauf ab, langfristig eine schmerzfreie Funktion wiederherzustellen. Auf Grund der komplexen Biomechanik des Gelenkes müssen die korrespondierenden Gelenkpartner anatomisch rekonstruiert werden um dieses Ziel zu erreichen. Mögliche Behandlungen bestehen aus einer konservativen (nicht operativen) Therapie im Fall von stabilen und nicht verschobenen Brüchen. Zweitens der operativen Einrichtung und Stabilisierung des Knochenbruches durch Metallimplantate und drittens die Implantation einer kompletten Ellenbogenprothese oder Speichenköpfchenprothese (Radiusköpfchenprothese).

 

 

1 – Konservative (nicht operative) Behandlung

Ein nicht operatives Vorgehen kommt in Frage, wenn der Knochenbruch nicht oder nur minimal verschoben ist und auch eine zunehmende Verschiebung im weiteren zeitlichen Verlauf nicht befürchtet werden muss. Auch Luxationen ohne knöcherne Beteiligung können meist ohne Operation behandelt werden. Da das Ellbogengelenk zu einer Einsteifung neigt, falls man es zu lange ruhigstellt, sollte bereits frühzeitig eine Bewegung des Gelenkes wieder ermöglicht werden. Dabei sollten dem Physiotherapeuten ausreichende Informationen zur Verfügung gestellt werden, welche Übungen durchgeführt werden dürfen.

Insbesondere bei den minimal verschobenen Radiusköpfchenbrüchen handelt es sich um eine sehr stabile Situation, so dass mit einer späteren zunehmenden Verschiebung des Bruches nicht gerechnet werden muss. Eine Entfernung des Gelenkblutergusses kann am Unfalltag eine erhebliche Beschwerdelinderung bringen. Der Arm wird danach für 5-10 Tage in einer Schiene oder Schlinge ruhiggestellt. Bereits in dieser Zeit sollte mit krankengymnastischen Übungen begonnen werden. Nach spätestens 5 Wochen ist der Bruch so stabil verheilt, dass der Arm weitestgehend uneingeschränkt eingesetzt werden kann. Häufig verbleibt eine minimale Bewegungseinschränkung durch Schrumpfungsvorgänge der Gelenkkapsel.

 

 

2 – Operative Stabilisierung

Oberstes Ziel aller operativen Maßnahmen ist

Die Wiederherstellung der Gelenkflächen zur Vermeidung einer Arthrose und Wiederherstellung der Beweglichkeit.

Die Wiederherstellung der Stabilität der knöchernen Strukturen und der Bänder um eine frühzeitige krankengymnastische Therapie und Bewegung des Ellenbogengelenkes zu ermöglichen. Nur so kann eine Einsteifung des empfindlichen Gelenkes vermieden werden.


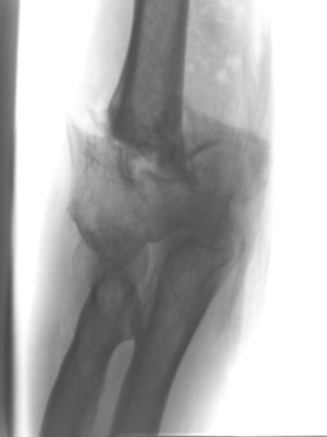
Ellenbogennaher Oberarmbruch/suprakondyläre Oberarmfraktur

Diese Brüche gehen häufig mit einer erheblichen Zertrümmerung des Knochens einher. In den meisten Fällen ist auch die Gelenkfläche betroffen, so dass eine operative Rekonstruktion erforderlich ist. Wie bei allen gelenknahen Knochenbrüchen besteht die Aufgabe darin, ein sehr kurzes Knochenfragment an dem Schaftknochen zu befestigen und die Gelenkfläche stufenlos wieder herzustellen. In der Standardtechnik werden dabei zwei Platten benutzt. Dabei geben insbesondere die winkelstabilen Titanplatten optimale Möglichkeiten um die kleinen Knochenteile stabil zu befestigen.

Ist allerdings die Gelenkfläche so stark zerstört, dass eine Rekonstruktion nicht möglich ist, bietet sich bei Patienten in höherem Lebensalter die Implantation einer Ellenbogenprothese an. Mit dieser ist eine gute Funktion zu erreichen.


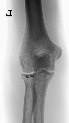
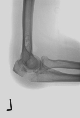
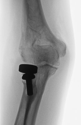
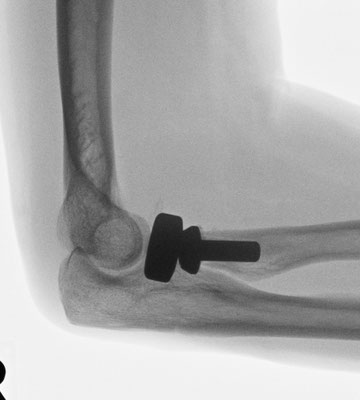
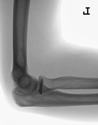
Radiusköpfchenbruch/Speichenköpfchenbruch

Einfache, sog. „Meißelbrüche“ des Speichenköpfchens können durch Minischrauben sehr stabil fixiert werden. Komplizierte Brüche müssen event. mit Miniplättchen verschraubt werden.

Bei ausgedehnter Zertrümmerung des Radiusköpfchens kann dieses mit Miniplättchen rekonstruiert werden oder sogar vollständig entfernt werden, ohne das die Funktion des Ellenbogens stark beeinträchtigt wird.

Häufiger kommt es allerdings zu zusätzlichen Bandverletzungen, insbesondere wenn der Ellenbogen luxiert war. In diesem Fall muss das Radiusköpfchen unbedingt erhalten werden, oder durch eine Radiusköpfchenprothese ersetzt werden. Durch die Wiederherstellung der knöchernen Führung wird die Stabilität des Ellenbogengelenkes wieder hergestellt. Zusätzlich wird der Bandapparat während der Operation genäht.


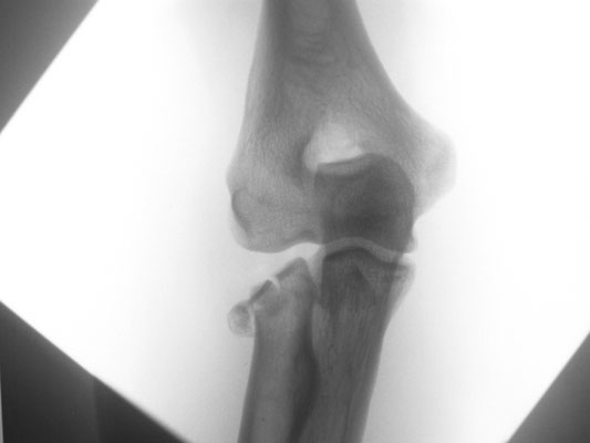
Ellenbogennaher Ellenbruch (Olecranonfraktur)

Der Ellenhaken (Olecranon) stellt den knöchernen Teil dar, über den die Kraft des Trizepsmuskels in den Unterarm geleitet wird und somit die aktive Streckung des Ellenbogens gegen Widerstand ermöglicht wird. Durch den Zug der Trizepssehne wird das kleine Knochenfragment weggezogen. Die Kraftübertragung des Muskels auf den Unterarm ist abgehängt. Insofern ergibt sich die Erfordernis, das Knochenteil und damit auch die Sehne des Trizeps wieder am Unterarm zu befestigen. Zusätzlich muss auch die Kongruenz des Gelenkes wieder hergestellt werden. Je nach dem, ob es sich um einen einfachen oder komplizierten Knochenbruch handelt, wird eine sog. Zuggurtungsosteosynthese mit zwei Drähten und einer Achterschlinge (Abb. 6a-b) oder eine Stabilisierung mit einer Platte durchgeführt.