Verletzungen bei Kindern stellen eine besondere Herausforderung für den Chirurgen dar. Mehr noch als beim erwachsenen Patienten ist die Behandlungssituation von Angst, Schmerz und der ungewohnten Situation geprägt. Eltern oder Großeltern befinden sich häufig in einer Stresssituation, die durch die Leidensbekundungen des Kindes, durch Angst vor bleibenden Schäden oder auch Selbstvorwürfen verstärkt wird. Umso wichtiger ist die rasche und kompetente Betreuung des Kindes und der Angehörigen.
Insbesondere Knochenbrüche im Kindesalter unterscheiden sich in ihrer Art und in ihrer Behandlung wesentlich von Verletzungen im Erwachsenenalter. Dies hat folgende Ursachen:
Das Skelett ist im Wachstum begriffen. Die einzelnen Knochen haben Wachstumsfugen, in denen über ein knorpeliges Zwischenstadium Knochensubstanz produziert wird. Diese Wachstumsfugen („Epiphysen“) sind auf der einen Seite sehr empfindlich gegenüber Verletzungen. Im schlimmsten Fall kann eine verletzte Fuge ihr Wachstum teilweise oder völlig einstellen und so ein Fehlwachstum verursachen. Auf der anderen Seite aber bedeuten die Epiphysen ein enormes Korrekturpotenzial. So können in Abhängigkeit vom Alter des Kindes und der Art und Lokalisation extreme Verbiegungen und Fehlstellungen durch das weitere Wachstum rasch ausgeglichen werden.
Die Kunst der Behandlung besteht darin, die Verletzungen, die eines Eingreifens durch Operation oder bestimmte Gipsbehandlungen bedürfen zu erkennen. Wichtig ist aber auch, unnötige Operationen zu vermeiden und das natürliche Korrekturpotenzial des kindlichen Skeletts auszunutzen. Es würde den Rahmen dieser Informationsseite sprengen, einzelne Verletzungen detailliert zu diskutieren. Exemplarisch werden im Weiteren einige Beispiele gezeigt.
Das operative Vorgehen bei kindlichen Knochenbrüchen unterscheidet sich von der Strategie beim Erwachsenen. Während beim ausgewachsenen Skelett fast immer eine „100prozentige“ Einrichtung angestrebt wird, können beim Kind gewisse (nicht alle!!) Fehlstellungen toleriert und die weitere Korrektur dem Wachstum überlassen werden. Man kann und sollte deshalb die meisten Brüche minimal-invasiv stabilisieren. Die Wachstumsfugen müssen dabei geschont werden. Wichtig ist die Kenntnis, welche Situation beim Kind auch durch weiteres Wachstum nicht korrigiert werden kann und zu Problemen führen wird und deshalb einer spezifischen Behandlung bedarf.
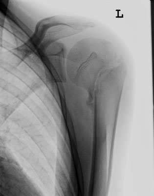
13-jähriger Junge mit Oberarmkopfbruch (Abb.1). Nicht operative Behandlung. Abb.2 zeigt das Röntgenbild nach 1 Jahr. Abb.3 zeigt die Funktion nur 2 Monaten nach dem Unfall!
14- jähriger Junge mit Unterschenkelbruch. Minimal-invasive Stabilisierung mit Markdrähten. Das Bein kann bei optimaler Anwendung der Drähte bereits nach einer Woche mit 15 kg an Gehstützen belastet werden.
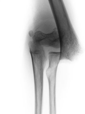
8-jähriger Junge mit ellenbogennahem Oberarmbruch. Der Bruch musste operativ eingerichtet werden. Stabilisierung mit Drähten, Gips für 3 Wochen. Die Drähte werden nach 3 Monaten wieder entfernt.
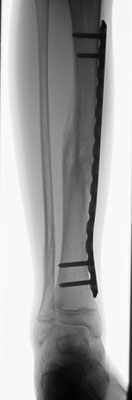
Stark verschobener Unterschenkelbruch bei einem 14- jährigen. Minimal-invasive Stabilisierung mit winkelstabiler Platte. Das Bein kann nach Abklingen der akuten Schwellung bereits wieder mit 15 kg an Gehstützen belastet werden. Volle Belastbarkeit nach 6 – 10 Wochen.
Stark verschobener Bruch des Oberschenkels bei einem 11-jährigen. Minimal-invasive Osteosythese winkelstabiler Platte.