Knochenbrüche am Sprunggelenk

 Ursache

Brüche im Bereich des Sprunggelenks entstehen durch Umknicken beim Sport oder auf unebenem Boden. Je nachdem, wie groß die einwirkenden Kräfte sind und in welche Richtung der Fuß verdreht wird, entstehen unterschiedliche Verletzungsmuster und Schweregrade.

Verletzungsmuster

Im günstigsten Fall entsteht nur eine Verstauchung des Sprunggelenks mit Dehnung und Zerrung der Gelenkkapsel oder ein Riss der Bänder, die das Sprunggelenk stabilisieren (Außenbandriss). Bei den Knochenbrüchen handelt es sich fast immer um eine Kombination aus Knochenbrüchen und Verletzungen des Kapsel-/Bandapparates (Syndesmosenband, Innenband). Diese Kombinationen führen zu einer Instabilität der Sprunggelenksgabel mit Fehlstellung. Einfachste und häufigste Form ist der Bruch des Außenknöchels. Bei schwereren Verletzungen kommen Brüche des Innenknöchels und des sog. hinteren Knöchels dazu. Man spricht dann von „Zwei- oder Dreiknöchelbrüchen“ (Bimalleolär/Trimalleolär). Bei Zertrümmerung der Gelenkfläche des Schienbeins spricht man von einem „Pilon tibiale“.

 

 

Behandlung

Durch die Verletzung kommt es rasch zu einer Schwellung, deshalb sollte schnell ärztliche Hilfe aufgesucht werden. In jedem Fall sollten  Fehlstellungen und Luxationen sofort behoben werden und eine Ruhigstellung erfolgen. Möglichst operiert man noch in den ersten Stunden, bevor die Schwellung vollständig ausgeprägt ist.

Unverschobene und stabile Brüche können durch eine Stabilisierung im Gips oder Spezialschuh zur Ausheilung gebracht werden. Instabile und verschobene Brüche müssen operativ eingerichtet und stabilisiert werden, da es sonst durch Inkongruenzen und verbliebene Fehlstellungen zu einem schnellen Verschleiß (Arthrose) des Gelenkes kommt. Entscheidend für den Operationserfolg ist, das das sog. Sprungbein (Talus) wieder stabil und zentriert in der Sprunggelenksgabel geführt wird.

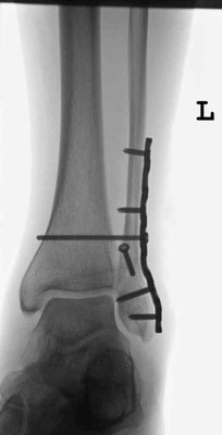
Der Außenknöchel wird dann in Narkose über einen 10 -13 cm langen Hautschnitt eingerichtet und mit einer Schrauben und einer Platte fixiert. Danach zentriert sich das Sprunggelenk meistens schon sehr gut, ein gerissenes Innenband muss in diesem Fall nicht genäht werden. Es heilt von selbst. Ist der Innenknöchel ebenfalls gebrochen, wird dieser im nächsten Schritt über einen kleinen Schnitt freigelegt, eingerichtet und mit Schrauben stabilisiert. Den hinteren Knöchel kann man dann in der Regel mit einer Schraube von vorne fassen und in seine Position ziehen. Nicht selten reißt die Bandverbindung zwischen Wadenbein und Schienbein (Syndesmose). In diesen Fällen wird nach Naht des Bandes zur Sicherung eine sog. Stellschraube eingebracht. Diese verbindet Waden- und Schienbein bis das Band geheilt ist und wird dann nach 6 Wochen in lokaler Betäubung wieder entfernt.

Ist der Außenknöchel mehrfach gebrochen oder ist der Knochen relativ weich, werden winkelstabile Platten verwendet. Zertrümmerungen der Gelenkfläche (Pilon tibiale) führen in kürzester Zeit zu einer massiven Schwellung. In diesen Fällen wird der Fuß zunächst mit einem Außenspanner (Fixateur externe) ruhiggestellt, bis er soweit abgeschwollen ist, das man offen operieren kann.

 

 

Risiken

Das Risiko von Wundheilungsproblemen steigt in Abhängigkeit von der Operationsdauer und der Weichteilschädigung während der Operation. Ein relativ hohes Risiko besteht bei zusätzlichen Erkrankungen wie Diabetes mellitus oder Durchblutungsstörungen („Raucherbein“).

 

 

Nachbehandlung

Bis zur Wundheilung wird der Fuß in einer Schiene gelagert. Danach soll eine Mobilisation unter Teilbelastung von 15-25 kg an Gehstützen erfolgen. Mit den modernen Implantaten kann man einen Gips in den meisten Fällen vermeiden und die Funktion und Beweglichkeit des Gelenkes von Anfang an erhalten. Falls erforderlich können abnehmbare Schienen oder Stiefel zur zusätzlichen Sicherung verordnet werden. Eine vollständige Entlastung sollte unbedingt vermieden werden, da diese rasch zu einer Inaktivitätsosteoporose mit Abbau von Knochensubstanz in dem Fuß führt. Der Körper braucht als Heilungsreiz eine gewisse Belastung! Zur Vermeidung einer tiefen Beinvenenthrombose wird zur Minderung der Blutgerinnung über einige Wochen Heparin gespritzt.

Nach 5-6 Wochen ist der Knochen in der Regel so stabil das die Belastung auf das volle Körpergewicht gesteigert werden kann. Falls eine „Stellschraube“ eingebracht wurde (s.o.) muß diese nun in lokaler Betäubung entfernt werden. Nach 5 – 8 Wochen sind dann die Gehstützen überflüssig. Eine Entfernung der modernen Titanimplantate ist nicht unbedingt erforderlich, ist aber nach etwa 6 Monaten problemlos möglich. Im selben Eingriff können durch eine Arthroskopie des Sprunggelenkes noch Verwachsungen und Verklebungen gelöst werden. Insgesamt ist meistens eine vollständige Wiederherstellung der Funktion zu erreichen. Häufig verbleibt noch für einige Monate eine gewisse Schwellneigung nach längerem Stehen.